Skip to main content

연세여우치과 교정센터

증상별 교정

30년이상의 사제관계를 바탕으로한 최고의 호흡으로 대학병원 이상의 양질의
교정 진료, 고객중심의 품격 진료를 제공하기위해 최선을 다하고 있습니다.

아래턱이 위턱보다 앞으로 나온

주걱턱이란?

아래턱이 위턱보다 큰 경우 흔히 주걱턱이라는 말을 사용합니다. 성장기에 아래턱이 위턱에 비하여 크게 자라면서 외모가 변하게 되고 부정교합이 생기는 경우도 많습니다. 심한 주걱턱은 앞니에 반대교합이 생깁니다. 정상적인 치아의 맞물림에서는 윗니가 아랫니를 살짝 덮지만, 반대교합에서는 거꾸로 아랫니가 윗니 바깥으로 물립니다. 이 경우 아랫입술이 많이 튀어나와 보이고, 앞니로 음식을 베어 무는 것도 힘듭니다. 또한 발음이 부정확해지고 턱관절의 불균형으로 턱에 통증이 유발되기도 합니다.

주걱턱 원인

유전적턱뼈의 크기나 형태는 유전되기 때문에 친가나 외가 쪽에 주걱턱인 분이 있다면 주걱턱이 될 확률이 높습니다.

후천적

잘못된 습관 (혀내밀기, 턱을 괴는 행동, 구호흡), 전신 질환 (구순열, 쇄골두개이골증 등)에 의해 발생할 수 있습니다.

YEOWOO CORRECTION

주걱턱의 증상

01 얼굴이 길고 커 보입니다

02 아랫니와 윗니가 잘 맞지 않아 음식을
제대로 자르거나 씹기 어렵습니다.

03 옆에서 봤을 때 턱이 나와 보입니다.

04 턱 관절 증상이 동반되기도 합니다.

05 입술이 잘 다물어지지 않습니다.

06 얼굴 가운데 부분이 들어가 평면적으로
보입니다.

07 발음이 새는 편입니다.

08 코가 실제보다 낮아 보입니다.

YEOWOO CORRECTION

주걱턱 치료법

경미한 주걱턱은 교정치료만으로 좋은 교합을 형성할 수 있고 약간의 외모 개선이 있을 수 있습니다.
하지만 심한 주걱턱은 악교정수술(양악수술)을 동반한 교정치료를 받아야 심미와 기능, 두 마리 토끼를 다 잡을 수 있습니다.

1주걱턱 수술 전 교정

수술 전 교정을 통하여 턱뼈의 부조화에 대하여 보상 작용이 일어난 치아를 제 위치로 되돌려 수술 후에 윗니와 아랫니가 잘 맞을 수 있도록 사전 준비를 합니다.

2주걱턱 수술 후 교정

수술 후 치열 교합을 바로 하고 세밀하게 조절하기 위해 진행하는 단계이며, 수술법은 부정교합의 정도와 종류에 따라 결정됩니다. 주걱턱수술은 뼈 성장이 멈춘 시기인 만17-18세 이후에 해야 합니다. 수술 후 부기는 2-3일 동안 점차 증가합니다. 4~5일이 지나면 부기가 서서히 빠지기 시작합니다. 수술 후 2주 정도 지나면 일상 생활이 가능합니다. 약 3~4주 정도는 부드러운 음식을 드시고 소독액으로 가글링을 하는 것이 좋습니다.

YEOWOO CORRECTION

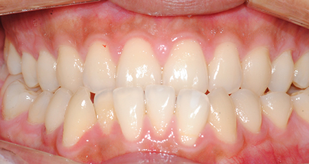
Before & After

연구하는 병원

끊임없이 노력하는 연세여우치과, 다양한 학술 활동과 연구를 통해 환자분들의
소중한 치아, 건강한 미소를 위해 쉬지않고 함께 하겠습니다.

전문의 협진 진료

전문의 협진과 검사 · 결과확인 · 치료계획을 통해 20년 임상 노하우를 통한
최선의 진료 원스톱 서비스를 환자분들께 제공합니다.
연세여우치과는 환자분들의 만족을 위해 언제나 노력하겠습니다.

진료시간 · 오시는 길 안내

연세여우치과 홍대점에서 섬세하고 정직한 서비스를 직접 경험해보시기 바랍니다.

T. 02-322-2879

서울특별시 마포구 양화로 165(동교동 159-1) 상진빌딩 6층

  • 진료시간
  • 월수목금AM 10 : 00 ~ PM 07 : 00
  • (야간진료)AM 10 : 00 ~ PM 09 : 00
  • 토요일AM 09 : 00 ~ PM 12 : 30
  • 점심시간PM 13 : 00 ~ PM 14 : 30
  • 일요일 / 공휴일은 휴진입니다.
    상담 및 예약을 원하시면 언제든 연락주시기 바랍니다.