Skip to main content

연세여우치과 교정센터

증상별 교정

30년이상의 사제관계를 바탕으로한 최고의 호흡으로 대학병원 이상의 양질의
교정 진료, 고객중심의 품격 진료를 제공하기위해 최선을 다하고 있습니다.

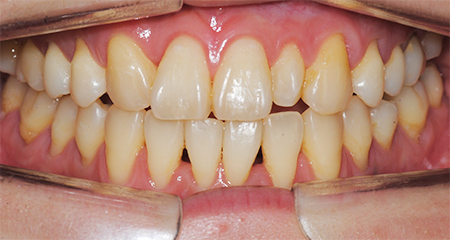
위아래 치아 사이에 틈이 생기는

개방교합이란?

윗니가 아랫니를 덮지 못하고 위아래 치아 사이에 틈이 생기는 상태입니다.
앞니로 음식물을 베어먹기 힘들고 발음이 새는 증상이 나타납니다. 정도에 따라 교정치료만으로 개방교합을 개선할 수 있습니다.

개방교합 원인

유전적

전 안면이 후 안면보다 많이 성장한 경우, 얼굴 길이가 길어지면서 개방교합이 발생합니다. 또는 구치부가 정출된 경우에 전치부가 개방교합이 될 수 있습니다.

악습관손가락 빨기, 혀 내밀기, 턱 괴기 등의 나쁜 습관이 지속될 경우 개방교합이 발생할 수 있습니다.

질환

만성 알레르기, 편도비대, 금성인후염 등 코의 질환으로 인해 코로 숨쉬기 어려워 구호흡을 하는 경우에 개방교합이 발생합니다.

연세여우치과

교정경력 30년 전문의
개인별 맞춤형 교정장치

개방교합으로 인한 치아교정은 정확한 진단이 필요합니다.
정확한 진단으로 교정치료만으로도 턱관절을 건강하게 유지할 수 있도록 만들어 드립니다.

YEOWOO CORRECTION

개방교합 치료법

1악습관을 제거하는 장치 (7-11세)

# 습관 제거만으로 개방교합 개선

습관만 제거해도 개방교합이 많이 개선됩니다. 침을 삼킬 때 혀는 치아에 닿지 않게 입 천장에 놓는 것이 좋습니다.
혀 습관만 개선해도 개방교합이 악화되는 것을 막을 수 있습니다. 성장기 아동들에겐 얼굴이 길게 성장하는 것을 조절하는 상악골 상방 견인장치 (하이풀 헤드기어 등)를 사용하기도 합니다.

2교정치료 (12세 이후)

# 돌출이 심하지 않은 경우

# 잇몸 건강이 나쁜 경우

# 입술이 과하게 후퇴되거나 입술이 얇은 경우

발치 후 결과가 좋지 않을 가능성을 고려해 치아를 뽑지 않고 미니스크류라는 부가 장치의 도움을 받아 치열궁 전체를 후방으로 이동시키는 치료를 합니다. 치료 중 사랑니를 뽑아야 하는 경우가 많습니다.

3수술을 동반한 돌출입 교정치료

# 잇몸뼈 자체가 돌출된 경우

교정치료만으로 치료를 진행하면 치아가 옥니처럼 보여 원하는 만큼의 효과를 보지 못할 수 있습니다.
이 경우 수술을 통해 교정치료를 진행하여 돌출입 문제를 해소합니다.

YEOWOO CORRECTION

Before & After

연구하는 병원

끊임없이 노력하는 연세여우치과, 다양한 학술 활동과 연구를 통해 환자분들의
소중한 치아, 건강한 미소를 위해 쉬지않고 함께 하겠습니다.

전문의 협진 진료

전문의 협진과 검사 · 결과확인 · 치료계획을 통해 20년 임상 노하우를 통한
최선의 진료 원스톱 서비스를 환자분들께 제공합니다.
연세여우치과는 환자분들의 만족을 위해 언제나 노력하겠습니다.

진료시간 · 오시는 길 안내

연세여우치과 홍대점에서 섬세하고 정직한 서비스를 직접 경험해보시기 바랍니다.

T. 02-322-2879

서울특별시 마포구 양화로 165(동교동 159-1) 상진빌딩 6층

  • 진료시간
  • 월수목금AM 10 : 00 ~ PM 07 : 00
  • (야간진료)AM 10 : 00 ~ PM 09 : 00
  • 토요일AM 09 : 00 ~ PM 12 : 30
  • 점심시간PM 13 : 00 ~ PM 14 : 30
  • 일요일 / 공휴일은 휴진입니다.
    상담 및 예약을 원하시면 언제든 연락주시기 바랍니다.