Skip to main content

연세여우치과 교정센터

증상별 교정

30년이상의 사제관계를 바탕으로한 최고의 호흡으로 대학병원 이상의 양질의
교정 진료, 고객중심의 품격 진료를 제공하기위해 최선을 다하고 있습니다.

치아가 너무 깊게 물리는

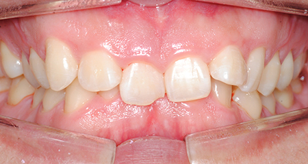
과개교합이란?

치아를 다물었을 때 위 앞니가 아래 앞니를 3mm 이상 덮는 경우를 말합니다. 과개교합을 가진 경우, 골격적으로 아랫턱의 수직 길이가 짧고 사각턱인 경우가 많습니다. 앞니가 깊게 물리면 성장기에 아랫턱의 성장이 잘 이루어지지 않습니다. 또한 입이 나와 보이는 인상을 줄 수 있으며 턱관절에 무리가 갈 수도 있습니다. 과개교합 역시 치료가 필요한 부정교합입니다.

과개교합의 원인

선천적윗턱과 아래턱 위치 간에 부조화가 있거나, 씹는 근육의 힘이 강한 경우에 과개교합이 생기기 쉽습니다.

후천적이갈이 등으로 인해서 어금니 부위가 과도하게 마모되어 치아의 길이가 짧아진 경우에 나타납니다.

YEOWOO CORRECTION

과개교합 증상

YEOWOO CORRECTION

과개교합 치료법

일반적인 경우

교정용 호선으로 치아를
이동하거나 어금니 높이를 조절

성장기 골격 문제 동반

구외 교정장치와 함께
교합 거상판을 사용

11세 미만 어린이

전방교합 거상판 장착을 장착해
위, 아래 사이를 띄워 아래턱이
전방으로 움직일 수 있게 함

12세 이후

교정장치 장착으로 위 앞니를
앞으로 이동시켜 정상적인
앞니관계를 형성할 수 있음

과개교합 치료를 통해 턱관절 통증을 개선할 수 있습니다.

YEOWOO CORRECTION

Before & After

연구하는 병원

끊임없이 노력하는 연세여우치과, 다양한 학술 활동과 연구를 통해 환자분들의
소중한 치아, 건강한 미소를 위해 쉬지않고 함께 하겠습니다.

전문의 협진 진료

전문의 협진과 검사 · 결과확인 · 치료계획을 통해 20년 임상 노하우를 통한
최선의 진료 원스톱 서비스를 환자분들께 제공합니다.
연세여우치과는 환자분들의 만족을 위해 언제나 노력하겠습니다.

진료시간 · 오시는 길 안내

연세여우치과 홍대점에서 섬세하고 정직한 서비스를 직접 경험해보시기 바랍니다.

T. 02-322-2879

서울특별시 마포구 양화로 165(동교동 159-1) 상진빌딩 6층

  • 진료시간
  • 월수목금AM 10 : 00 ~ PM 07 : 00
  • (야간진료)AM 10 : 00 ~ PM 09 : 00
  • 토요일AM 09 : 00 ~ PM 12 : 30
  • 점심시간PM 13 : 00 ~ PM 14 : 30
  • 일요일 / 공휴일은 휴진입니다.
    상담 및 예약을 원하시면 언제든 연락주시기 바랍니다.