Skip to main content

연세여우치과 교정센터

증상별 교정

30년이상의 사제관계를 바탕으로한 최고의 호흡으로 대학병원 이상의 양질의
교정 진료, 고객중심의 품격 진료를 제공하기위해 최선을 다하고 있습니다.

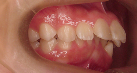
아래턱이 작고 짧은

무턱이란?

무턱은 아래턱뼈 자체가 뒤에 위치할 뿐만 아니라 그 크기가 작아서 턱이 없는 것처럼 보이는 상태를 말합니다. 입이 심하게 돌출되어 있을 때에도 상대적으로 무턱처럼 보일 수 있습니다. 윗니가 돌출되어 보여 비심미적인 외형과 음식물을 효율적으로 씹기가 어렵습니다.

무턱 원인

선천적

턱뼈의 크기와 형태는 유전적인 영향이 크기 때문에, 친가나 외가 쪽에 무턱인 사람이 있다면 무턱이 될 확률이 있습니다. 자궁 내 이상 및 태아 손상, 하악과두 무형성증으로 생기기도 합니다.

후천적

어릴 적 습관이나 외상, 위턱과 아래턱을 연결하는 근육의 비정상적 작용, 동정맥 기형이나 림프 기형, 턱관절 질환 등이 원인이 되는 경우도 있습니다.

무턱 치료법

무턱이 심하지 않은 경우, 발치 교정 치료를 통해 입이 들어가면 상대적으로 코와 턱 끝이 살아나 보이는 효과가 있습니다.
아래턱의 길이가 짧아 골격 문제가 심하다면 턱 끝 수술을 동반한 교정치료를 하거나 악교정 수술을 권합니다.
또한 성장기 어린이들은 성장조절치료로 아랫턱의 성장을 유도해주기도 합니다.

연세여우치과

교정경력 30년 전문의
개인별 맞춤형 교정장치

무턱의 정도를 정확히 파악 후 그에 맞는 치료법과 치료시기를 결정하여
차별화된 치료방법으로 부드럽고 차분한 인상을 만들어줍니다.

YEOWOO CORRECTION

무턱 진단 방법

case 01정면에서 보면
아래턱이 작고 짧음

case 02측면에서 보면
아래턱이 들어가 있음

case 03턱이 없어 보이며,
턱 선이 구분되지 않음

case 04입술을 다물 때 턱 끝에
힘이 들어감

YEOWOO CORRECTION

Before & After

연구하는 병원

끊임없이 노력하는 연세여우치과, 다양한 학술 활동과 연구를 통해 환자분들의
소중한 치아, 건강한 미소를 위해 쉬지않고 함께 하겠습니다.

전문의 협진 진료

전문의 협진과 검사 · 결과확인 · 치료계획을 통해 20년 임상 노하우를 통한
최선의 진료 원스톱 서비스를 환자분들께 제공합니다.
연세여우치과는 환자분들의 만족을 위해 언제나 노력하겠습니다.

진료시간 · 오시는 길 안내

연세여우치과 홍대점에서 섬세하고 정직한 서비스를 직접 경험해보시기 바랍니다.

T. 02-322-2879

서울특별시 마포구 양화로 165(동교동 159-1) 상진빌딩 6층

  • 진료시간
  • 월수목금AM 10 : 00 ~ PM 07 : 00
  • (야간진료)AM 10 : 00 ~ PM 09 : 00
  • 토요일AM 09 : 00 ~ PM 12 : 30
  • 점심시간PM 13 : 00 ~ PM 14 : 30
  • 일요일 / 공휴일은 휴진입니다.
    상담 및 예약을 원하시면 언제든 연락주시기 바랍니다.