Skip to main content

연세여우치과 교정센터

연령별 교정

30년이상의 사제관계를 바탕으로한 최고의 호흡으로 대학병원 이상의 양질의
교정 진료, 고객중심의 품격 진료를 제공하기위해 최선을 다하고 있습니다.

나이가 들수록 아름다운 미소

성인교정

교정치료에 대한 두려움이나 비심미적인 교정장치등의 이유로 성인이 되어서 교정을 하는 경우가 많습니다. 교정와이어, 미니스크류 등 발달로 인해 성인에서도 청소년기 못지 않은 좋은 결과를 얻을 수 있습니다.

YEOWOO CORRECTION

성인교정의 필요성

나이가 들어도 아름다운 미소는 중요합니다.
아름다운 미소를 위해 교정이 필요합니다.

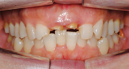
잇몸이 나빠지면 치아 사이 틈이 생겨 교정치료를 통해
가지런하게 유지시켜주는것이 좋습니다.

치아가 빠졌을때 치료를 받지않으면 주변치아들이 그 공간 쪽으로 기울어집니다.
치아를 똑바로 세워주기 위해 교정치료가 필요합니다.

YEOWOO CORRECTION

Before & After

연구하는 병원

끊임없이 노력하는 연세여우치과, 다양한 학술 활동과 연구를 통해 환자분들의
소중한 치아, 건강한 미소를 위해 쉬지않고 함께 하겠습니다.

전문의 협진 진료

전문의 협진과 검사 · 결과확인 · 치료계획을 통해 20년 임상 노하우를 통한
최선의 진료 원스톱 서비스를 환자분들께 제공합니다.
연세여우치과는 환자분들의 만족을 위해 언제나 노력하겠습니다.

진료시간 · 오시는 길 안내

연세여우치과 홍대점에서 섬세하고 정직한 서비스를 직접 경험해보시기 바랍니다.

T. 02-322-2879

서울특별시 마포구 양화로 165(동교동 159-1) 상진빌딩 6층

  • 진료시간
  • 월수목금AM 10 : 00 ~ PM 07 : 00
  • (야간진료)AM 10 : 00 ~ PM 09 : 00
  • 토요일AM 09 : 00 ~ PM 12 : 30
  • 점심시간PM 13 : 00 ~ PM 14 : 30
  • 일요일 / 공휴일은 휴진입니다.
    상담 및 예약을 원하시면 언제든 연락주시기 바랍니다.